79°
Baton Rouge, Louisiana
7 Day Forecast
Follow our weather team on social media

Nursing home with history of alleged neglect catches attention of state lawmakers

5 years 5 months 2 weeks ago Sunday, November 08 2020 Nov 8, 2020 November 08, 2020 11:00 PM November 08, 2020 in News
Source: WBRZ

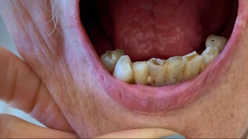
NEW ROADS - Cases of neglect at a nursing home in the heart of New Roads caused state lawmakers to meet with the families of residents there Monday.

Andre Monceret pulled his mother out of the home last week after documenting repeated incidents of problems. Monceret said his mother who has dementia was not properly cared for. He said he has evidence of the following: his mom sitting in a soiled diaper for more than six hours, fingernails filled with grime, toenails that have not been trimmed in months, and teeth that have not been brushed for weeks.

"I pulled her out of this home the other day, her fingernails were nasty like she was digging in the dirt with grime and feces," Monceret said.

He said his mom has always been well kept and to see her like that was beyond devastating.

His frustration caught the attention of parish leaders who have helped facilitate meetings with state lawmakers.

"From a change perspective, being in the legislature formally, I've invited our legislators that represent this area to sit with some of the families and learn what standards are in place but what are opportunities to change some things," Pointe Coupee Parish President Major Thibaut said.

The WBRZ Investigative Unit found the facility has a history of problems. According to inspection reports available for public viewing, Pointe Coupee Healthcare was cited 13 times over the past three years. The facility was fined in August 2019, $36,000 for failing to timely report suspected abuse and neglect. In 2018, the home was also cited for violating federal standards protecting residents from the spread of infections.

In May there were multiple deaths reported and skyrocketing numbers of COVID-19.

Thibaut said with the recent cases of neglect and the lack of family members being able to routinely check in on their loved ones, he reached out to the facility which promised that changes were coming.

"We're going to make changes and are investigating when that was and when it took place. And we will put procedures in place to make sure we stay current on everything," Thibaut recalled the administrators telling him.

We reached out to Pointe Coupee Healthcare for a comment on this story. A public relations firm out of New Orleans released the following statement:

“We are grateful to the family members of the residents involved for bringing these issues to light. We share your concerns and are conducting an internal investigation to determine what occurred and how it can be addressed.

Rest assured that we will work diligently to correct these issues and determine the best path forward. 

Our top priority is making sure that our residents are receiving the treatment and care they deserve. This includes a customized care plan for each resident, protocol for communicating any issues to families and education for our staff on how to properly maintain residents’ hygiene. 

While we are constantly working to ensure that all of these policies are enforced, we encourage residents and resident families to reach out to us with any issues they might have so they can be researched and handled properly.”

More News

Desktop News

Click to open Continuous News in a sidebar that updates in real-time.
Radar
7 Days